横骨折・斜骨折・粉砕骨折・圧迫骨折・らせん骨折・剥離骨折・亀裂骨折・若木骨折 重複骨折(1つの骨に複数骨折)、多発骨折(複数の骨に骨折) 創の有無による分類 開放骨折=複雑骨折(骨折部に創があり、外界と骨折部がつながっている状態)放射線骨折がずれていない場合は、前腕の上3分の1から指の付け根まで2〜3週間、石膏の背副木を当てます。 ブラシが少し曲がっています。 この期間の後、指に重点が置かれる治療体操が任命されます。 このとき、骨折部位にuhfを適用することが可能です。 · 橈骨近位部骨折の基礎知識 point 橈骨近位部骨折とは 橈骨は前腕にある骨です。肘に近い橈骨に起こる骨折を橈骨近位部骨折といいます。肘の痛みや腫れ、前腕の筋力低下が起こり、日常生活に必要な動作ができなくなります。
與股骨近端杵臼狀外展截骨術相關的文獻報道 醫學百科
前腕 骨折 種類
前腕 骨折 種類-前腕に直達外力が作用した場合は 横骨折 になります.しかし,受傷時に前腕に回転(捻転)性の介達外力が作用すると 斜骨折 や らせん骨折 になります.そして骨折に脱臼を合併することがあります.家庭医学館 上腕骨骨折の用語解説 どんな病気か 転倒の際、手や肘(ひじ)をついたときによく発生します。骨幹部の骨折は青壮年に多く、上腕顆上骨折(じょうわんかじょうこっせつ)は小児に多くみられます。肘部(ちゅうぶ)外傷を負ったときは、小児でも上腕骨外顆骨折(


整形外科の病気 高岡整志会病院 富山県高岡市
· 上腕骨の骨折の種類まとめ 種類 変形 a 解剖頸骨折 b 外科頸骨折 c 骨幹部骨折 d 顆上骨折 内反肘 e 外顆骨折 外反肘 顆上上肢の上腕骨や前腕 (橈骨・尺骨)の骨構造をイラストでわかりやすくご紹介! "うで (腕)"や"手"は人間のカラダで大切な部分です。 物を持ったり、食事をしたりする際に必ず使うのが"腕"や"手"になります。 今回は人間でとても重要な"腕や手 (上肢)"の上腕骨や前腕の骨構造について、イラストを用いてわかりやすくご紹介します。 腕は何本の骨で『鎖骨骨折』 『上腕骨近位端骨折』 『上腕骨骨幹部骨折 』 『成人の上腕骨遠位部骨折』 『肘頭骨折』 『前腕の骨幹部骨折』 『橈骨(とうこつ)遠位端骨折』 『舟状骨骨折 歳代の人が手をついたら舟状骨骨折を疑え』 『手の中手骨骨折』
· POINT 前腕骨骨折(橈骨骨折、尺骨骨折)とは 前腕は肘と手首をつなぐ骨のことで、橈骨と尺骨の2本です。 前腕骨折はころんだときや何かに挟まれたりしたとき、強く打ち付けたときに起こります。 橈骨と尺骨の2本とも折れることもあれば、片方だけが折れることもあります。 前腕骨骨折が起こると、骨折部の痛みや腕の変形、あざ(皮下出血)といった症状が前腕と手部を持ち、骨折部をさらに折るような力を加えることで痛みの増強具合を見る介達痛など いずれにせよ骨折が疑われる場合は、レントゲンやct、mriなどを行い骨折のタイプまでの判断をします。 橈骨遠位端骨折の治療東京有明医療大学 附属接骨センター(保健医療学部 柔道整復学科 助手)の久保慶東先生(柔道整復師)による解説です。折転帯は前腕部やふくらはぎ
右前腕に変形があるようです。 (30歳母親) A 前腕には2本の骨(橈骨と尺骨)があります。 近位の橈尺関節で肘関節に、遠位の橈尺関節で手関節に連結しています。 この2本は、捻り合うことで手掌を上に向ける回外動作と手掌を下に向ける回内動作を行います。 その1本に骨折を生じると、短縮・曲がり・捻れの変形を来すとともに近位または遠位の橈尺関節の骨折後のリハビリは「負傷後数日」もしくは「処置をした後」から 負傷後数日~数週間を「急性期」と呼びます。 治癒にかかる期間は負傷時の年齢や本来の体力、負傷部位や手術の有無にも左右されますが、一般的に負傷前の状態に戻るまで おおむね3か月~6か月かかると考えられています。三角巾より便利な腕つり 腕の骨折、捻挫や麻痺などに。r10r11 腕吊り メッシュアームスリング jas2 アームホルダー 骨折 ケガ用 三角巾 腕を吊るグッズ


整形外科 手の外科 診療内容の紹介


肘b 2 前腕 ストレッチ 伸筋群 都立大整形外科クリニック
62 · 今回は骨折について またまた整形外科の疾患について学んでいきましょう。今回は骨折について扱います。 骨折で今回始めて扱うのは「橈骨遠位端骨折」にしました。 どこの骨折ですか?? 手首の骨折です!横骨折や斜骨折で不安定な場合、固定性の悪い場合、病的骨折の場合が手術適応となります。 前腕骨骨幹部骨折(ぜんわんこつこっかんぶこっせつ) 整復位が保持できない場合に手術を行っています。 手術の内容 上腕骨近位端骨折手首の骨折:コーレス骨折とスミス骨折 手首の骨折(手関節骨折)には、次の種類があります。 コーレス骨折: 転倒時に手のひらから着地し、手首が反って起こる骨折。 手首付近で前腕の大きいほうの骨(橈骨)が骨折し、折れた橈骨の下端側の骨片が手の甲側にずれます。 スミス骨折: 転倒時に手の甲側を地面につき、手首が曲がって起こる骨折。 この場合


若木骨折 左前腕部遠位端部若木骨折 Prdceg


前腕 橈骨 尺骨 の骨折 リハスタ
骨折の原因究明と安全対策 原因究明 実測 有限要素解析 安全対策 有限要素解析 前腕骨折の安全対策の提案~実測による計測結果~ クッション部の材料特性と構造により 骨折の危険性が異なる 内圧:1030hPa ヤング率:0173GPa 膜厚:045mm 仕切膜間隔:046m


Figure 手首の骨折 コーレス骨折とスミス骨折 Msdマニュアル家庭版


骨折マネジメント Sigmax Medical 日本シグマックス株式会社


高齢者に多い4つの骨折と予防 ケアについて せいてつlab 社会医療法人 製鉄記念八幡病院


成人の上腕骨遠位部骨折 一般社団法人 日本骨折治療学会 骨折の解説


手首の骨折 25 外傷と中毒 Msdマニュアル家庭版


骨折 Welcome To 佐野内科ハートクリニック


主な疾患 外傷 米盛病院 社会医療法人緑泉会 鹿児島


整形外科骨折種類 折れる だけが骨折じゃない 骨折の種類や癥狀 治療 Sbyix


交通事故で骨折したときの慰謝料はいくらもらえる 認定される後遺障害も解説 アトム法律事務所弁護士法人


小児の上肢骨折について 診断と治療法 実際に多く見られる肘周辺骨折 東京ベイ 浦安市川医療センター


橈骨遠位端骨折の症状 診断 治療 骨 筋肉 関節の病気 All About


橈骨神経麻痺の症状 原因 治療 リハビリ 骨 筋肉 関節の病気 All About


尺骨の骨折と後遺障害 東京都で後遺障害 交通事故なら医療資格保有弁護士のハビリス法律事務所へ


肘頭骨折 一般社団法人 日本骨折治療学会 骨折の解説


橈骨遠位端骨折 コレス骨折 スミス骨折 日本整形外科学会 症状 病気をしらべる


橈骨遠位端骨折 とうこつえんいたんこっせつ 小郡第一総合病院


骨折遠位ラディウス前腕の骨 1人のストックフォトや画像を多数ご用意 Istock


原因と症状 治療法


上腕骨遠位端骨折の症状 診断 治療 骨 筋肉 関節の病気 All About


橈骨遠位端骨折


骨折肘前腕 X 線画像の表示およびネジ固定プレート ねじのストックフォトや画像を多数ご用意 Istock


前腕の骨折骨のコレクションです整形外科医の運営と内部固定プレートとスクリュー 1人のストックフォトや画像を多数ご用意 Istock


橈骨遠位端骨折の症状 診断 治療 骨 筋肉 関節の病気 All About


手首のケガやその予防方法 Mueller Japan


橈骨遠位端骨折 上田整形外科クリニック


與股骨近端杵臼狀外展截骨術相關的文獻報道 醫學百科


チャオ動物病院 江坂


上腕骨遠位端骨折の症状 診断 治療 骨 筋肉 関節の病気 All About


整形外科の病気 高岡整志会病院 富山県高岡市


初めての腕の骨折 ギプス お助けセット 腕吊りサポーター Takumi入浴用カバー かいかい棒付 ひとモノショップ 通販 Yahoo ショッピング


骨折 脱臼 および捻挫の概要 22 外傷と中毒 Msdマニュアル プロフェッショナル版


徒手整復 牽引の看護 目的や適応 種類 方法 介達牽引と直達 Kmgrkz


骨折の概要 25 外傷と中毒 Msdマニュアル家庭版


チャオ動物病院 江坂


橈骨遠位端骨折


橈骨神経麻痺 日本整形外科学会 症状 病気をしらべる


橈骨の骨折と後遺障害 東京都で後遺障害 交通事故なら医療資格保有弁護士のハビリス法律事務所へ


犬の橈尺骨骨折の整復手術 整形外科 やまと動物病院やまと動物病院


成人の上腕骨遠位部骨折 一般社団法人 日本骨折治療学会 骨折の解説


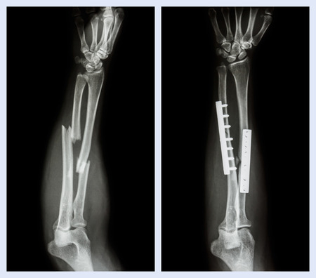
前腕の骨幹部骨折 一般社団法人 日本骨折治療学会 骨折の解説


上腕骨遠位端骨折の症状 診断 治療 骨 筋肉 関節の病気 All About


成人の上腕骨遠位部骨折 一般社団法人 日本骨折治療学会 骨折の解説


橈骨遠位端骨折の症状 診断 治療 骨 筋肉 関節の病気 All About


スキー スノーボード前腕のケガ


上腕骨遠位端骨折の症状 診断 治療 骨 筋肉 関節の病気 All About


肘b 1 前腕 ストレッチ 屈筋群 都立大整形外科クリニック


上の画像 尺骨骨折と半径 前腕の骨 下の画像 それ運営されて 内部のプレートとスクリュー固定 の写真素材 画像素材 Image


腕神経叢損傷 日本整形外科学会 症状 病気をしらべる


骨折の症状 原因 治療 リハビリ 怪我 外傷 All About


歩行器 杖類の種類と選び方 福祉用具の種類と選び方 こんな時に


橈骨遠位端骨折について こんな時は救急外来へ 症例別q A 社会医療法人 有隣会 東大阪病院 大阪市 城東区


肘のけが 25 外傷と中毒 Msdマニュアル家庭版


部位別傷病 弁護士法人サリュ


小児の骨折 日本整形外科学会 症状 病気をしらべる


遠端橈骨骨折 醫學影像學習園地


チャオ動物病院 江坂


上腕骨遠位端骨折 弁護士による交通事故相談 弁護士法人前島綜合法律事務所


前腕骨骨折 橈骨骨折 尺骨骨折 基礎知識 症状 原因 治療など Medley メドレー


高齢でもできる 骨折 手術後 後遺症で 曲げれない手首を動かせる リハビリ方法


上腕骨遠位端骨折の症状 診断 治療 骨 筋肉 関節の病気 All About


犬の手術実例 前腕骨 橈尺骨 骨折 名古屋みらい動物病院


前腕の骨を骨折します整形外科医の運営と内部固定プレートとスクリュー 1人のストックフォトや画像を多数ご用意 Istock


鎖骨骨折 肩関節脱臼骨折 腱板損傷 色々ある上肢の障害 交通事故sc


チャオ動物病院 江坂


遠端橈骨骨折 醫學影像學習園地


X Ray 骨折尺骨 Bone 骨前腕 X線撮影のストックフォトや画像を多数ご用意 Istock


骨折の概要 25 外傷と中毒 Msdマニュアル家庭版


原因と症状 治療法


X 線前腕 フロント サイド 尺骨骨 前腕の骨 の粉砕骨折シャフト の写真素材 画像素材 Image


前腕の骨幹部骨折 一般社団法人 日本骨折治療学会 骨折の解説


骨折の症状 原因 治療 リハビリ 怪我 外傷 All About


橈骨遠位端骨折 上田整形外科クリニック


尺骨の骨折と後遺障害 東京都で後遺障害 交通事故なら医療資格保有弁護士のハビリス法律事務所へ


骨粗鬆症 おおつか整形外科blog


若木骨折 左前腕部遠位端部若木骨折 Prdceg


橈骨遠位端骨折 とうこつえんいたんこっせつ 小郡第一総合病院


上腕骨遠位端骨折 じょうわんこつえんいたんこっせつ 福岡の弁護士による後遺障害 等級認定サポート


橈骨遠位端骨折の症状 診断 治療 骨 筋肉 関節の病気 All About


橈骨遠位端骨折 とうこつえんいたんこっせつ 小郡第一総合病院


前腕の骨幹部骨折 一般社団法人 日本骨折治療学会 骨折の解説


柔道整復各論 Electronic Wizard


身体との対話 前腕筋の機能を解剖学的に解説 ヨガジェネレーション Yogageneration


橈骨遠位端骨折 コレス骨折 スミス骨折 日本整形外科学会 症状 病気をしらべる


手首骨折の X 線のフィルム 挿入されたプレートとネジと破壊半径骨 前腕の骨 を表示 の写真素材 画像素材 Image


前腕の骨を骨折します整形外科医の運営と内部固定プレートとスクリュー 1人のストックフォトや画像を多数ご用意 Istock


主な疾患 外傷 米盛病院 社会医療法人緑泉会 鹿児島


ブログ 上腕骨遠位端骨折 じょうわんこつえんいたんこっせつ について 熊本の弁護士 交通事故のトラブル弁護は田中ひろし法律事務所


上腕骨の骨折の後遺症 症状別の等級 慰謝料相場を徹底解説


橈骨遠位端骨折の症状 診断 治療 骨 筋肉 関節の病気 All About


前腕の骨を骨折します それ運営されて 内部のプレートとスクリュー固定 左の画像 操作の前に右画像 操作後 の写真素材 画像素材 Image


骨折遠位ラディウス前腕の骨 それが運営しており保険 1人のストックフォトや画像を多数ご用意 Istock


チャオ動物病院 江坂


0 件のコメント:
コメントを投稿